Praktijktraining

MIH Training in uw praktijk

Uitgebreide informatie

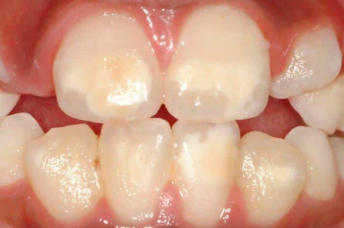
Hoe zijn kaasmolaren (MIH) te herkennen en welke behandelstrategie kan er worden toegepast? In de workshop komen de uitdagingen voor de tandarts aan bod en welke behandelingopties er kunnen gebruikt worden.

De diagnose van MIH is niet steeds makkelijk, ook daar biedt GC met enkele producten de oplossing. Het restaureren van de cariës is moeilijk, gezien de leeftijd van de patiënten en de gevoeligheid van de tanden.

Een oplossing die wij aanbieden is de HALL techniek. Bij deze techniek gaat de tandarts carieuze primaire molaren behandelen door er voorgevormde metalen kronen op te cementeren, zonder plaatselijke verdoving, preparatie of verwijdering van carieus weefsel. Het succespercentages van deze behandeling is aangetoond op 97%*.

Tijdens onze workshop leggen we deze techniek helemaal uit via een hands-on met Hu-Friedy crowns en FujiCEM Evolve als glasionomeercement.

Schrijf je in

Dit is de extra tekst bij een formulier

Aanvraag formulier
Praktijktraining
Land
optin
privacy

Trainer

GC Specialist

Datum & Tijd

In overleg - zowel overdag als ‘s avonds is mogelijk

Tijdsduur

In overleg - Een korte update of een uitgebreidere training.

Locatie

In uw praktijk

Kostprijs

Gratis. Ook alle benodigde materialen voor de training verzorgt GC voor u.

Interesse?

Vul het formulier hiernaast in of stuur een mail naar education.benelux@gc.dental